Artificial Intelligence and Robotics

Sponsored by

Sponsored by

Facial Recognition: Visualising a Smart Future
![]() |
![]() |
From left to right:
|
|
Professor Xiaoou Sean Tang leads research in computer vision, pattern recognition, and video processing. His team has built a novel facial recognition system that achieved the world’s highest accuracy of 99.15%, surpassing the accuracy of human eyes. This technology has numerous important applications in security, law enforcement, internet, entertainment and other areas. This work has led Professor Tang to co-found SenseTime, the world’s most valuable AI unicorn focused on computer vision and deep learning, with more than US$1.6 billion raised and is valued over US$4.5 billion.
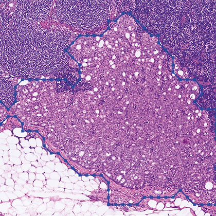
AI-assisted Cancer Diagnosis: Sharp Eyes for Finding Cancers
![]() |
![]() |
From left to right:
|
|
Professor Pheng-Ann Heng has developed an innovative artificial intelligence system using an automated medical image processing technology to offer efficient diagnosis using CT scan and histopathological images. The system, which utilises deep learning algorithms, has been validated on two of Hong Kong’s most prevalent cancers, lung cancer and breast cancer, with high accuracies.
Medical Robotics: Raising the Bar of Precision Surgery
![]() |
![]() |
From left to right:
|
|
The Chow Yuk Ho Technology Centre for Innovative Medicine conducts research to apply and advance robotic applications to medicine. Professor Philip Chiu, whose expertise is on robotic minimally invasive and endoscopic surgery, has invented a novel flexible robotic endoscopy system for the performance of endoscopic submucosal dissection which allows surgeons to perform precise dissection and reduces complication and cancer recurrence.
Autonomous Driving Technologies: Hands Off the Wheel and the Shelf
![]() |
![]() |
From left to right:
|
|
Professor Yun-Hui Liu leads the CUHK T Stone Robotics Institute in advancing technologies in robotics and automation for industrial, medical and service applications. The Institute has developed autonomous driving technologies for industrial vehicles to transport and lift heavy loads in semi-closed environments with high precision. These technologies have led to a number of commercial products such as autonomous pallet forklift trucks, lifting forklift trucks and tractors.







